
有研究表明,骨髓基质细胞(BMSC)在调控造血、组织修复及一些疑难疾病的治疗中具有重要意义。然而BMSC并不具备典型形态特征,且骨髓涂片中数量甚少,传统的wright-Giemsa法染色后于普通光镜下不易识别。应用单克隆抗体技术结合流式细胞仪、免疫细胞化学染色、荧光标记技术等可将其鉴别,但亦各有其局限性。
为此,龚旭波等人[1] 建立了将固紫B盐应用于BMSC的特异性细胞化学染色方法。该方法简便快速,整个操作过程仅需30 min,染色明显,对陈旧标本也易着色,染色液配置后可较长时间保存,染色结果保留数月也不褪色,表明固紫B盐对BMSC染色具有较高的稳定性、特异性。
◆实验步骤
1. 标本采集
吸取患者骨髓、胸腔积液或腹腔积液50 μL制成涂片。
2. 溶液配制
固定液:95%乙醇溶液34.5 mL,40%甲醛溶液5.5 mL,蒸馏水1 mL混合而成;
1 g/L固紫B盐PBS溶液:50 mg固紫B盐粉末溶于50 mL PBS溶液,pH 7.2~7.6,4℃下保存;
苏木精复染液:苏木精2 g溶于250 mL无水乙醇中,硫酸铝10 g溶于750 mL蒸馏水中,两种溶液混合后加热煮沸2 min,再加入0.5 g碘酸钠和1 g柠檬酸,混匀。
3. 固紫B盐染色
上述新鲜干燥标本于固定液固定30 s,小水流冲洗后晾干,置入1 g/L固紫B盐PBS溶液(pH 7.2~7.6),37℃水浴箱内置30 min,流水冲洗1 min,晾干后苏木精复染2 min,流水冲洗,待干。镜下观察细胞的着色情况及阳性BMSC形态特征。
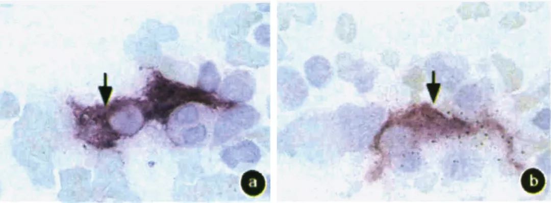
◆染色效果


图a~d: 骨髓涂片
a~d图箭头所示为骨髓基质细胞胞质染为紫红色,胞核不着色,而其他细胞均无此染色特征(固紫B盐染色x1000)
◆参考文献
[1] 龚旭波, 吴先国, 卢兴国, 等. 骨髓基质细胞固紫B盐染色法的建立及其临床意义[J]. 中华检验医学杂志, 2008,31(8):890-893.
◆产品列表
| 产品编号 | 产品名称 | 规格 | 包装 |
| 060-01081 | Fast Violet B Salt 固紫B盐 |
Wako Special Grade | 1.5g |
※ 仅供实验使用,不可用于临床诊断。