
本产品是一款可在无饲养层条件下维持培养人多能干细胞(人ES细胞和人iPS细胞)的无血清培养基。由于原材料中不含动物来源成分,以及BSA和HSA等白蛋白,所以无批间差异,可实现稳定培养。但本产品不含bFGF(碱性成纤维细胞生长因子)。
● 可在无饲养层条件下培养人ES细胞以及人iPS细胞的无血清培养基
● 每批次都使用人iPS细胞201B7株进行质量检测
● 可与Matrigel® 、iMatrix-511、Vitronectin等多种涂层剂联用
● 可与Accutase,TrypLE Select等解离液联用
● 传代时可通过添加Y-27632实现使用单细胞传代
● 碱性磷酸酶染色(使用人iPS细胞201B7株)
本产品需冷冻(-20℃)储存。溶解后不可再次冷冻,建议在2~10℃条件下进行储存,并在1周内使用完毕。
将使用A公司培养基(含BSA、无饲养层用)培养的人iPS细胞201B7株移植至StemSure® hPSC培养基Δ,进行传代培养。以下为传代培养时的细胞形态、细胞群倍加数和未分化性能维持检测的结果。
在StemSure® hPSC培养基Δ中培养的人iPS细胞的细胞形态与A公司培养基培养的几乎相同,也没有观察到趋向分化的形态,可实现稳定培养。
移植到StemSure® hPSC培养基Δ后,立即进行第1~5次传代。结果显示,StemSure® hPSC培养基Δ培养的细胞增殖情况更为良好。
StemSure® hPSC培养基Δ + 35 ng/mL bFGF
使用StemSure® hPSC培养基进行5次传代维持培养,确认到全部未分化标志物(Nanog, Oct3/4, Tra-1-60, SSEA-4, BC2LCN)的表达。
※ BC2LCN是一种对存在于人ES细胞/人iPS细胞膜表面的糖链具有高亲和性的重组凝集素。
<数据提供 独立行政法人产业技术综合研究所 干细胞工程研究中心 小沼泰子老师、伊藤弓弦老师>
将使用A公司培养基(含BSA、无饲养层用)培养的人ES细胞WA01株移至StemSure® hPSC培养基Δ,进行传代培养。以下为传代培养时的细胞形态、细胞群倍加数和未分化性能维持检测的结果。
使用A公司培养基进行培养时,在2次传代以后开始出现趋向分化形态的细胞。但使用StemSure® hPSC培养基Δ培养的人ES细胞没有观察到趋向分化的形态,可实现稳定培养。
移植到StemSure® hPSC培养基Δ后,立即进行第1~5次传代。结果显示,与A公司培养基相比,细胞的增殖能力没有差异。
StemSure® hPSC培养基Δ + 35 ng/mL bFGF
使用StemSure® hPSC培养基Δ进行6次传代维持培养,确认到全部未分化标志物(Nanog, Oct3/4, Tra-1-60, SSEA-4, BC2LCN)的表达。
<数据提供 独立行政法人产业技术综合研究所 干细胞工程研究中心 小沼 泰子 老师、伊藤 弓弦 老师>
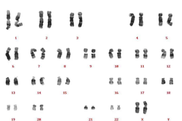
核型分析使用StemSure® hPSC培养基Δ进行27次传代培养的人iPS细胞,确认是否存在染色体异常。
<数据提供 独立行政法人国立成育医疗研究中心研究所 再生医疗中心 三浦巧老师、阿久津英憲老师>
使用StemSure®系列的培养基驯化培养了使用StemSure® hPSC培养基Δ培养的人iPS细胞201B7株。胚状体形成后,通过检测βⅢ-Tubulin、α-SMA、AFP的表达确认三胚层分化。
StemSure® D-MEM + StemSure® Serum
Replacement+2 mmol/l L-Glutamine+
0.1 mmol/l StemSure® 2-Mercaptoetanol+ 1
x Non-essential Amino Acids Solution