病理学特殊染色:可用于Bodian染色的蛋白银。
神经退行性疾病组织学染色具有以下特征,老年斑:红紫色(淀粉样蛋白核心:红色)、神经原纤维缠结:神经原纤维缠结(红色~黑紫色)、匹克小体(匹克氏病):红褐色。
外观:微褐色~褐色,结晶性粉末~粉末或块状物
◆染色示例

图1. 小脑
轴突(黑色)、 浦肯野细胞(红紫色)、
粒细胞(红紫色)

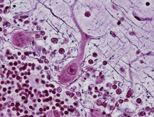
图2. 大脑
老年斑(红紫色)和淀粉样蛋白核心(红色)

 

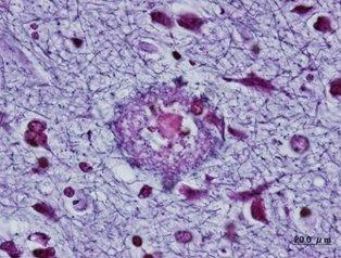
图3. 大脑
神经元纤维变化
(箭头:红紫色 红褐色)

 图4. 大脑(匹克氏病)
匹克小体(箭头:红褐色)
染色状态
轴突:黑色
浦肯野细胞、颗粒层(小脑):红紫色
小脑皮层:浅紫色
神经退行性疾病组织学特征
老年斑:红紫色(淀粉样蛋白核心:红色)
神经原纤维缠结:神经原纤维缠结(红色~黑紫色)
匹克小体(匹克氏病):红褐色
◆染色方法示例
Bodian染色法概要
Bodian染色实验步骤

注意事项
1. 可使用标准方法染色,但应避免长时间的银反应。
2. 良好的染色效果会受温度和时间的影响,因此,请根据研究机构考虑适合的条件。
3. 根据固定效果依次排序固定条件:酸性福尔马林 > 中性缓冲福尔马林 > 多聚甲醛,延长固定时间预计不会影响染色效果。
◆产品列表
※ 仅供实验研究用,不可用于临床诊断。

Search Articles