
β-淀粉样蛋白(Aβ)寡聚体作为阿尔茨海默病因而备受瞩目。Aβ寡聚体是Aβ单体的可溶性凝集体,会抑制神经细胞的突触功能。
Aβ寡聚体中,按照分子量的大小,可以分成低分子量的Aβ寡聚体(Low-n 寡聚体)和高分子的Aβ寡聚体(ADDL、Aβ*56、原纤维(Profibril))。
有相关的报告指出,高分子Aβ寡聚体的Aβ*56(12-mer)对记忆损伤的影响极大1),在认知功能正常的成年人中,Aβ*56比二聚体、三聚体先增加并与Tau蛋白相关,二聚体、三聚体形式的Aβ不与Tau相关2)。
1) Lesné, S., et al.: Nature, 440, 7082, 352(2006).
2) Lesné, S. E., et al.: Brain,136, 1383(2013).
● 可特异性地对9-mer以上的高分子Aβ寡聚体进行定量
※1 基于16-mer多抗原肽(MAP)标准品的换算值。
本系列采取双抗体夹心法ELISA,使用抗Aβ抗体(BAN50)作为捕获抗体和检测抗体,与1~8-mer几乎不发生反应,与9-mer以上的Aβ寡聚体则发生特异性反应。使用带有16个抗Aβ抗体(BAN50的抗体识别序列的16-mer MAP肽作为标准品。
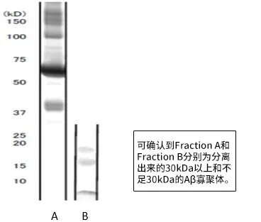
将Aβ1-42肽冷藏并孵育过夜后,通过超滤分离为不足30 kDa(8聚体以下)和30 kDa以上(9聚体以上),并使用Aβ抗体(BAN50)对各组进行Western Blot和ELISA(本方法)检测。
Western Blot(抗Aβ抗体(BAN50))
8聚体以下(<30 kDa)的Fraction B几乎检测不到信号;9聚体以上(≥30 kDa)的Fraction A则检测到强烈的信号。
用本ELISA法检测非认知症患者(Control)、轻度认知障碍患者(MCI)阿尔茨海默病(AD)患者的脑脊液。
※3:MMSE score:认知功能诊断问诊检查的分数,30-28分:正常;27-24分:怀疑有轻度认知障碍;23分以下:怀疑严重认知症
非认知症患者(Control)、轻度认知障碍患者(MCI)阿尔茨海默病患者(AD)间的检测值差异明显。结果表明,高分子Aβ寡聚体的检测值与MMSE Score相关。
※1 基于16-mer多抗原肽(MAP)标准品的换算值。
