
Caspase-1 是描述炎症的最佳caspase。它能提炼细胞因子interleukin-1β(IL-1β)和IL-18,并诱导 pyroptotic 细胞死亡。Caspase-1 由多蛋白复合物激活,由于在不同的炎症中都能检测到,所以被称为针对多种刺激的炎症小体。NLRC4对胞质鞭毛蛋白反应,鼠源NLRP1b对炭疽致死毒素反应,AIM2 对细胞质DNA反应,NLRP3则对包括晶体在内各种激动剂反应。
◆特点
● 纯化的小鼠单克隆抗体(mAbs)
● CASPER-1(p10)检测内源性全长片段&活化的p20片段
● CASPER-2(p20)检测内源性全长片段&活化的p10片段
● 监控炎症小体活性的最好工具
● 经过炎症领域专家的测试验证
◆案例应用
抗小鼠Caspase-1 (p10) 单抗(Casper-2)

图1:抗体anti-Caspase-1(p10)(mouse),mAb(Casper-2)应用于免疫印迹实验中检测Mouse Caspase-1(p10)。
方法:从野生型小鼠和Caspase-1基因敲除小鼠中提取骨髓树突状细胞进行分化培养,用5 μM(Nigericin)处理30分钟,使用WB方法检测细胞上清中Caspase-1是否活化并表达蛋白。在还原条件下,用SDS-PAGE分离上清液(30 μL),转移到硝酸纤维素膜后,用anti-Caspase-1(p10)(mouse),mAb(Casper-2)(1 μg /mL)孵育,最后化学发光进行检测。

图2:抗体anti-Caspase-1(p20)(mouse),mAb(Casper-1)应用于免疫印迹实验中检测Mouse Caspase-1(p20)。
方法:对细胞提取物和从野生型小鼠分化骨髓来源树突状细胞(BMDCs)进行分化培养,用 5 μM (Nigericin)处理 30分钟,使用WB方法检测细胞上清中NLRP3-/-和caspase-1-/- 小鼠是否活化并表达蛋白。在还原条件下,用SDS-PAGE分离细胞提取物和上清液,转移到硝酸纤维素膜后,用anti-Caspase-1(p20)(mouse),mAb(Casper-1)(1 μg /mL)孵育,最后化学发光进行检测。

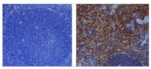
图3:抗体 anti-Caspase-1(p20)(mouse),mAb(Casper-1) 应用于免疫组化实验中染色小鼠脾的内源性小鼠 Caspase-1。
方法:通过标准免疫组化(用柠檬酸钠进行抗原修复),使用anti-Caspase-1(p20)(mouse),mAb(Casper-1)(Prod. No. AG-20B-0042)(1:500),使小鼠来源的Caspase-1 KO(左)或者 WT(右)的小鼠脾组织(石蜡切片)染色。
◆产品列表


※ 仅供实验使用,不可用于临床诊断。