
Phos-tag™ 凝胶荧光染料,是一种可在生理pH范围内,对凝胶中的磷酸化蛋白进行染色的荧光染料。进行了SDS-PAGE,用本产品处理聚丙烯酰胺凝胶,可以对磷酸化蛋白进行特异性染色。
本系列有波长不同的Yellow(黄)、Magenta(品红)、Cyan(蓝绿)、Aqua(浅绿)四种颜色。每管规格为0.2 mg,可对染色约20个迷你凝胶。
注意:
使用Phos-tag™凝胶荧光染料,需要用到Mixedreagents for Phos-tag™ Common Solution 5×(产品编号:383-15231)。请一同购买。

◆特点
● 高灵敏度
● 在生理pH下即可染色
● 选择性与pSer、 pTyr、 pHis以及pAsp残基结合
● 无需放射性物质、化学物质标签、抗体
● 2小时内完成染色
◆产品对比
其他公司产品A
● 凝胶pH:2~4
● 5个步骤(固定、清洗、染色、脱色、清洗)
● 所需时间:≧5小时
● 溶液更换次数:11次
● 卵清蛋白检测上限:~5 ng/lane
Phos-tag™ Magenda
● 凝胶pH:7~8(不进行脱磷酸化)
● 3个步骤(固定、染色、清洗)
● 所需时间:≦2小时
● 溶液更换次数:4次
● 卵清蛋白检测上限:~1 ng/lane
◆应用实例①
磷酸化蛋白与非磷酸化蛋白的染色Phos-tag™ Aqua



Lane.No.()内为磷酸基团数目
|
1. Marker 2.α-酪蛋白(9P) 3.经ALP处理的α-酪蛋白 4.β-酪蛋白(5P) 5.经ALP处理的β-酪蛋白 6.卵清蛋白(2P) |
7.经ALP处理的卵清蛋白 8.胃蛋白酶(1P) 9.经ALP处理的胃蛋白酶 10.β-半乳糖苷酶 11.牛血清白蛋白 12.碳酸酐酶 |
Phos-tag™ Aqua染料选择性:用Phos-tag™ Aqua对10%(w/v)的PAGE胶进行染色,其中分别含有四组完整的以及经ALP(碱性磷酸酶)处理的磷酸蛋白(α-酪蛋白,β-酪蛋白,卵清蛋白和胃蛋白酶各1 μg)(左),然后使用考马斯亮蓝CBB G-250染色(右)。
成功特异性地检测出SDS-PAGE后的磷酸化蛋白。
数据提供:广岛大学研究生院 医学系科学研究科 医药分子机能科学研究室 木下惠美子老师、木下英司老师、小池透老师
◆应用实例②
使用Phos-tag™ 荧光凝胶染料的组氨酸、天门冬氨酸的磷酸化分析
细菌通过将信息从组氨酸激酶EnvZ传递到应答调控子OmpR来调节基因的表达。分别分析有自磷酸化能力的EnvZ激酶和被EnvZ催化的OmpR中组氨酸和天门冬氨酸的磷酸化。


可以确认Phos-tag™ Magenta和Phos-tag™ SDS-PAGE 这两种试剂中的His和Asp的磷酸化随激酶的处理时间经过不断增强。尤其是使用Phos-tag™ Magenta时,可以仅检测出His磷酸化或Asp磷酸化。
数据提供:广岛大学研究生院 医学系科学研究科 医药分子机能科学研究室 木下惠美子老师、木下英司老师、小池透老师
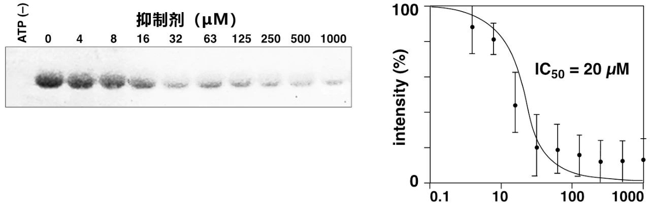
◆应用实例③
用于筛选组氨酸激酶抑制剂(新型抗生素)
使用Phos-tag™荧光凝胶染料,筛选组氨酸激酶抑制剂。

证实磷酸化依赖组氨酸激酶抑制剂浓度被抑制。
数据提供:广岛大学研究生院 医学系科学研究科 医药分子机能科学研究室 木下惠美子老师、木下英司老师、小池透老师
参考文献
“Quantitativemonitoring of His and Asp phosphorylation in a bacterial signaling system byusing Phos-tag Magenta/Cyan fluorescent dyes”, Emiko Kinoshita-Kikuta, HiroshiKusamoto, Syogo Ono, Keisuke Akayama, Yoko Eguchi, Masayuki Igarashi, ToshihideOkajima, Ryutaro Utsumi, Eiji Kinoshita, Tohru Koike, Electrophoresis, 2019
◆使用方法

※调整平衡及清洗溶液以及染色溶液必须使用Mixed reagents for Phos-tag™ Common Solution 5× (产品编号:383-15231)。
◆激发波长/荧光波长


◆产品列表
| 产品编号 | 产品名称 | 规格 |
| 380-15241 | Phos-tagTM 黄色荧光染料 | 0.2mg |
| 386-15221 | Phos-tagTM 品红荧光染料 | 0.2mg |
| 382-15201 | Phos-tagTM 浅绿荧光染料 | 0.2mg |
| 389-15211 | Phos-tagTM 蓝绿荧光染料 | 0.2mg |
| 383-15231 | Phos-tagTM 5×染色通用混合溶液 | 1 EA |
◆相关产品
Phos-tag™ Acrylamide
| 产品编号 | 产品名称 | 规格 |
| 304-93521 | Phos-tag™ Acrylamide AAL-107 Phos-tag™ 丙烯酰胺 | 10mg |
| 300-93523 | 2mg | |
| 304-93526 | Phos-tag™ Acrylamide AAL-107 5mM Aqueous SolutionPhos-tag™ 丙烯酰胺5mM水溶液 | 0.3mL |
SuperSep™ Phos-tag™
用于Bio-Rad伯乐电泳仪
| 产品编号 | 产品名称 | 规格 |
| 198-17981 |
SuperSep™ Phos-tag™ (50μmol/l), 7.5%, 17well, 83×100×3.9mm Phos-tag™ 预制胶50μmol/l,7.5%,17孔,BioRad型 |
5 块 |
| 195-17991 |
SuperSep™ Phos-tag™ (50μmol/l), 12.5%, 17well, 83×100×3.9mm Phos-tag™ 预制胶50μmol/l,12.5%,17孔,BioRad型 |
5 块 |
用于Life Technologies伯乐电泳仪
| 产品编号 | 产品名称 | 规格 |
| 192-18001 |
SuperSep™ Phos-tag™ (50μmol/l), 7.5%, 17well, 100×100×6.6mm Phos-tag™ 预制胶50μmol/l,7.5%,17孔,Life Technologies型 |
5 块 |
| 199-18011 |
SuperSep™ Phos-tag™ (50μmol/l), 12.5%, 17well, 100×100×6.6mm Phos-tag™ 预制胶50μmol/l,12.5%,17孔,Life Technologies型 |
5 块 |
Phos-tag™ Biotin
| 产品编号 | 产品名称 | 规格 |
| 301-93531 |
Phos-tag™ Biotin BTL-104 Phos-tag™ 生物素 |
10 mg |
| 308-97201 |
Phos-tag™ Biotin BTL-111 1mM Aqueous Solution Phos-tag™ 生物素1mM水溶液 |
0.1 ml |
Phos-tag™ Agarose
| 产品编号 | 产品名称 | 规格 |
|
Phos-tag™ Tip Phos-tag™ 琼脂糖吸管 |
8 pcs |
|
|
387-07321 |
8 pcs ×10 |
Phos-tag™ Tip
| 产品编号 | 产品名称 | 规格 |
| 387-07321-8P |
Phos-tag™ Tip Phos-tag™ 琼脂糖吸管 |
8 pcs |
| 387-07321 | 8 pcs ×10 |
Phos-tag™ Mass Analytical Kit
| 产品编号 | 产品名称 | 规格 |
|
Phos-tag™ Mass Analytical Kit Phos-tag™ 质谱分析试剂盒 |
1 set |
※ 仅供实验使用,不可用于临床诊断。